Laminate Veneer in Turkey
Laminate Veneer
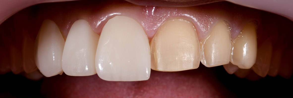
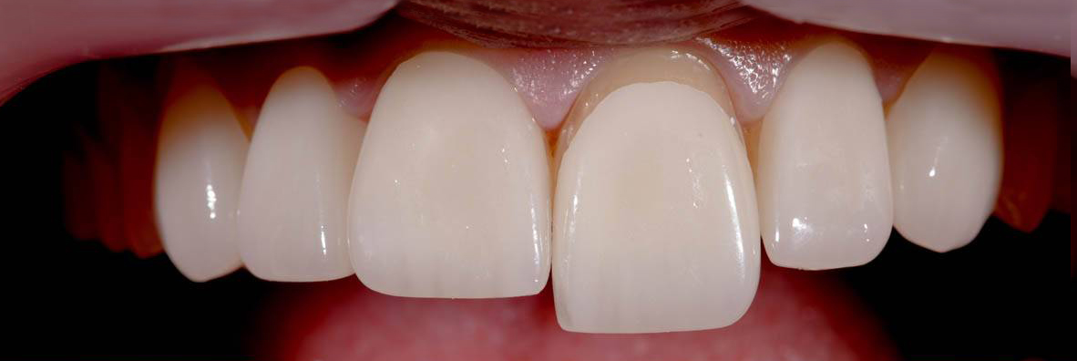
In this method, the entire teeth surface is not trimmed, only the front surfaces are trimmed 0.3 to 0.7 mm. Therefore, the loss of healthy tooth tissue is kept to the minimum. In this process, porcelain veneers are adhered to the trimmed area.
- In cases of irrecoverable discoloration with dental bleaching,
- Teeth with poor structure and shape,
- In the treatment of diastema (diastema closure),
- In the restoration of broken or worn teeth,
- In the replacement of old fillings with damaged color and structure,
- In fixing crowded and crooked teeth (it can be preferred as an alternative cosmetic treatment).
- Who can receive the porcelain laminate veneer therapy?
- Almost everyone can receive the porcelain laminate veneer therapy.
- The desired look is achieved with minimal trimming of 0.3 to 0.7 mm. The process takes 5 to 7 days on average.
- They are produced from durable, discoloration-resistant, and durable materials.
- Having the desired aesthetic properties (color, shape, etc.) without damaging the natural structure of the teeth can be achieved with porcelain laminate veneer therapy. Either no or minimal change is applied to the veneers. The trimmed off layer is between only 0.3 and 0.7 mm.
- The model of your teeth is duplicated and teeth design is completed based on this model. In other words, before the operation, the planned changes can be shown as a demo at the beginning of the treatment. This is called a "mock-up".
- The porcelain surface of the veneers is smooth, so it decreases the likelihood of plaque buildup and staining due to smoking, etc.
- It does not discolor due to external factors such as coffee, tea, and smoking.
- It is highly resistant to erosion.
If your gums do not need any treatment or aesthetic operation, the therapy is estimated to be completed in 2 to 3 sessions within 1 week.
In the first session, the impression of your teeth is taken before trimming and the obtained model is examined. Next, your teeth are trimmed and the impression of your teeth is re-taken using sensitive impression material. In the next session, the laminates are applied to your teeth.
The adhesion level is very high in the products with cutting-edge technology. If the dentist pays attention to the technical details regarding precision, you can use your porcelain laminate veneers as if they are your natural teeth.
Porcelain laminate veneers can be used for years with proper oral care. They are produced from porcelain and its outstanding quality ensure them to be more durable than veneers produced from other materials. They are more resistant to stains and erosion. It is necessary to pay attention to oral care to extend their lifespan.