Time Scale: 1 - 3 Days
Dental Implant in Turkey
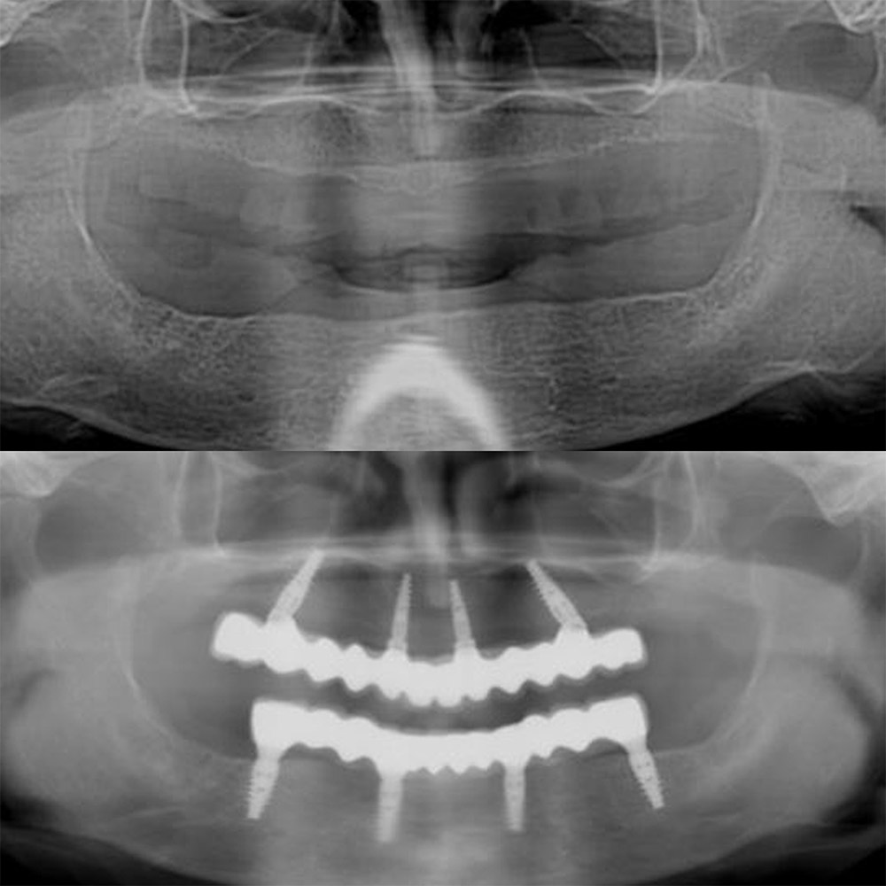
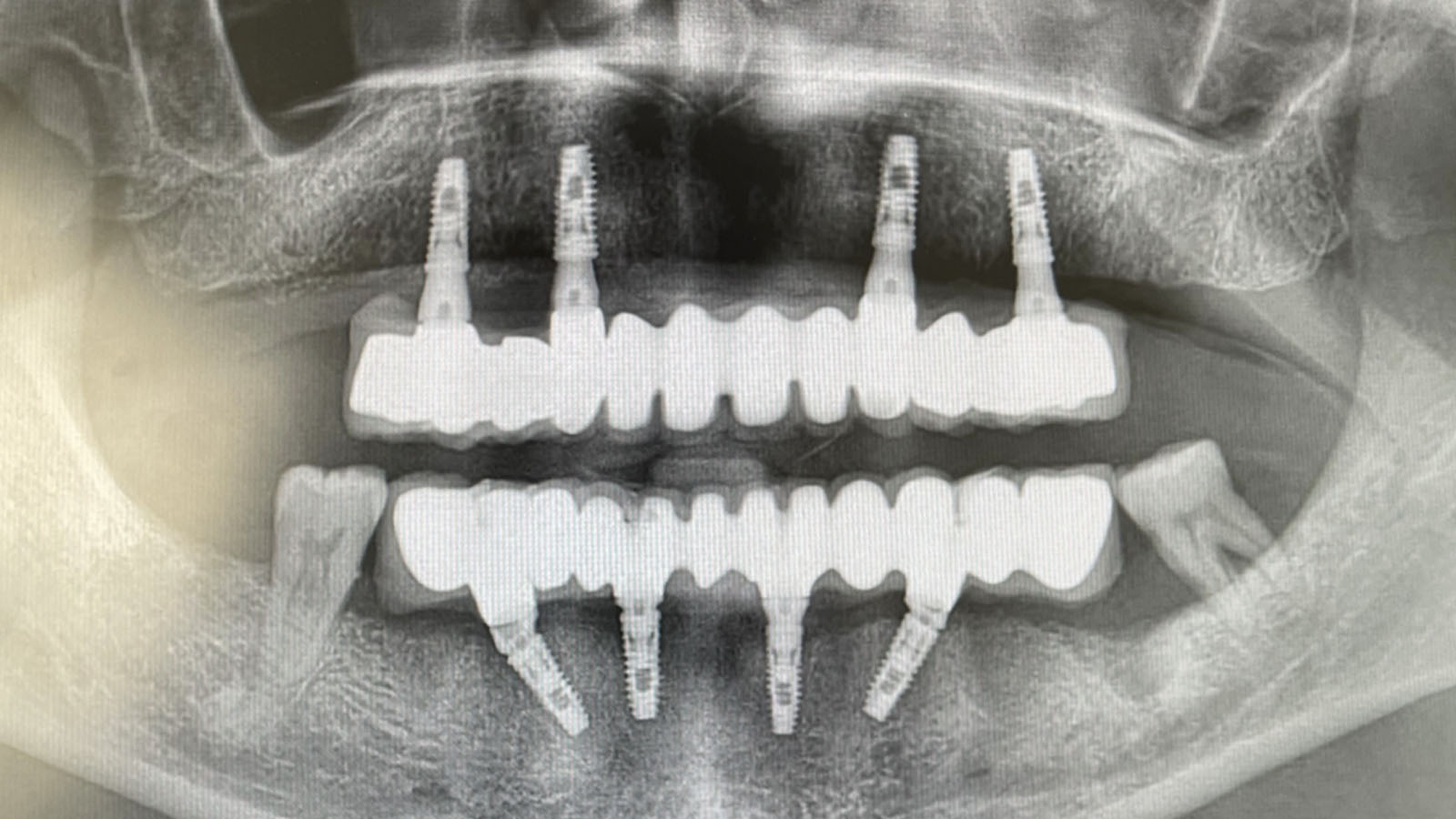
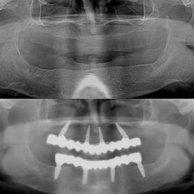
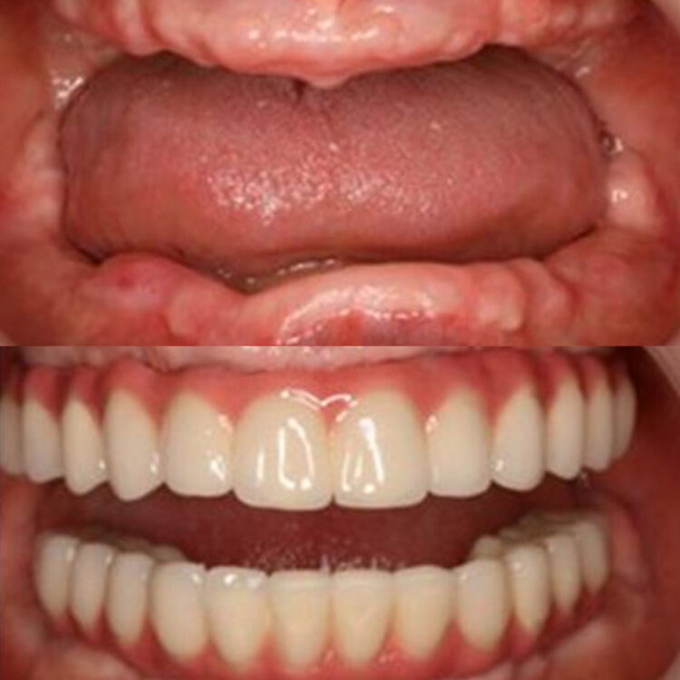
All On 4 Dental Implants
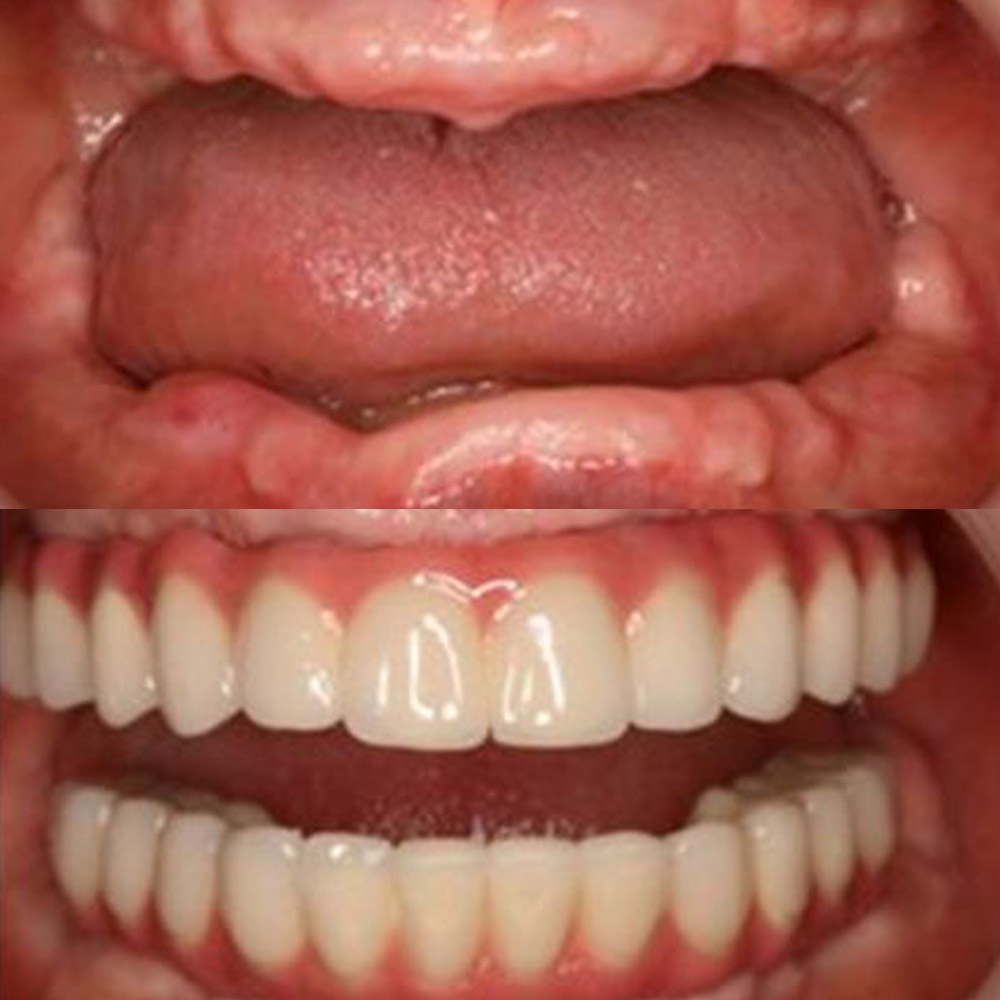
The “All-On-4 ™” dental implant treatment involves the fixing of acrylic veneers onto a prosthesis, which, in turn is attached to dental implants to ensure a perfect cosmetic result. The acrylic veneers used are extremely robust, and unlike a normal prosthesis, will blend the gingival colour seamlessly with the patient’s own palate, providing a flawless and comfortable fit. After the two-day treatment has been completed the patient will be able to return to their usual social life bearing a wonderfully perfect smile.
- Under normal circumstances, the implant and aesthetic treatment can be completed within 2 days, saving the patient expense and time.
- Whether the patient needs tooth extractions or not, the treatment will be completed within two days.
- The robust bonding of acrylic veneers to implants allows the patient comfort and well being.
- This ‘All-On-4’ treatment is available for patients with healthy bone structure and with gums free from infection.
- Dental hygiene regime is simple and straightforward.
- The final result will offer comfort, and the aesthetically designed result will increase the patient’s quality of life.
- Patients with healthy bone structure and gums will avoid extra costly treatments, such as: Sinus lift, Bone Graft and Membrane treatment.
- The patient is free to change their acrylic veneers for porcelain veneers at a later date.
- The patient can say goodbye to uncomfortable and ill-fitting dentures.
- All On Four treatment can be applied to all patients without teeth (not having any teeth) who don’t have any systematic disease that could create an obstacle for dental implant surgery and who have sufficient bone mass.
First of all a detailed clinic and radiological examination should be done to patients for who All On Four treatment is planned. By making meausrements through computerized tomography (BT) a suitable plan is made for the patient.
All On Four procedure is composed of two parts as surgery and dental prothesis process. After 4 pieces of dental implants are applied to the patient on the first day of treatment, temporary dental prothesis is fixed on dental implants on the same day. 3 months later permanent teeth prothesis is applied to patient
Just like the case after each dental implant operation, a certain amount of pain and swelling can occur after operation. But these complaints can be easily controlled by taking the medicines recommended by your doctor .