Smile Makeover in Turkey
Smile Makeover
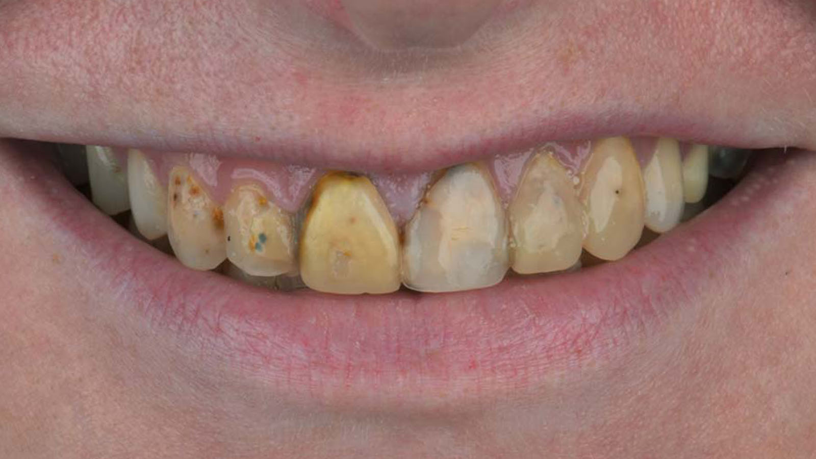
Smile Makeover in Turkey, also known as smile design is designed to simultaneously address multiple cosmetic or structural dental imperfections such as gaps, uneven teeth alignment, fractures etc. It is also the process of improving the appearance and health of your of the teeth and gums through a series of dentistry procedures.
An individual can become more optimistic and gain self-confidence with facial aesthetics, based on factors such as an adaptation of lip structure to facial aesthetics, the arrangement of teeth and gums, and whitening.
In this context, the level of lips and gums, the length of teeth, alignment, color of the teeth, and the harmony of the lips and teeth enables a beautiful smile to emerge.
The shape of teeth and gums may vary depending on the health of the patient, and this can effect the time the various procedures take, as too, there are many different and varied types of treatment available in dentistry, and each will have a different treatment duration.
However, with the latest and advanced computer technology, it is possible to design and produce a new tooth in-house in as little as 30 minutes, allowing the dentist to make dental rehearsals almost immediately.
The number of visits may vary depending on the current condition of the patient’s teeth, and the selected treatment.
As our clinic uses the latest technology, our team can prepare a full smile makeover in just 4 to 6 days. Allowing the patient to enjoy their holiday here in Turkey.
And when arriving home, the patient will flash their friends with their new and dazzling Hollywood Smile.